Dental Implants Walnut Creek
The Gold Standard for Replacing Missing Teeth
Dental implants in Walnut Creek offer unparalleled oral health benefits in addition to serving as a beautiful tooth replacement, which is why Dr. David has spent a large part of his career mastering them. He’s thrilled to be able to complete the entire treatment from start to finish all within his office.
Why Choose Blue Wave Dental for Dental Implants?
- High-Quality, Beautiful Dental Restorations
- Entire Dental Implant Procedure Completed In-House From Start to Finish
- Extensive Training and Experience Specializing in Complex Cases
What are Dental Implants?
Dental implants are small posts made from biocompatible titanium that are placed below the gumline and directly into the jawbone via oral surgery. Due to their composition, they’re able to naturally fuse with the bone material and serve as replacement tooth roots, where they provide natural stimulation and blood flow to the jawbone. Once this fusion has occurred, a dental restoration such as a crown, bridge, or denture can be attached to provide the patient with replacement teeth that look and function naturally.
The Dental Implant Process
Initial Consultation
The first step of your dental implant journey is to schedule a consultation with Dr. David. During this visit, he and his team will conduct a thorough evaluation of your teeth and gums and take X-rays to determine how to create a customized dental implant treatment plan.
Dental Implant Surgery
David offers in-house dental implant placement! His team can complete every step of the process under one roof, meaning that you won’t have to deal with other teams, offices, or time and distance restraints. After the implant surgery, the posts must fuse with the jawbone. This can take anywhere from three to six months.
Delivery of Dental Implant
Restoration(s)
Once your restoration has been crafted to the exact specifications, we’ll complete the last step of the process by attaching it to your implants.
Benefits of Dental Implants

Dental implants are so popular and highly recommended by dentists for numerous reasons, many of which have to do with the unique and unparalleled oral health benefits they provide. Not only are they the closest possible replacement in terms of look and feel to your natural teeth, but they also stop jawbone deterioration as well as restore a significant portion of your original bite force! Would you like to learn more about how dental implants may have a positive effect on your life? Continue reading below.
Day-to-Day Benefits
Dental implants may improve your daily quality of life in several ways:
- Ability to eat anything. Dental implants can equip you to eat virtually any food, including tough and chewy items that are off-limits with traditional dentures.
- A beautiful smile. Dental implants restorations look and feel just like natural teeth, so you will have no reason to feel self-conscious about your smile.
- Clear speech. Tooth loss may make it difficult to enunciate certain sounds. In contrast, dental implants can help you to speak with clarity and confidence.
- Easy maintenance. In many ways, taking good care of dental implants is similar to caring for natural teeth. Thorough oral hygiene and regular visits to your dentist are both important!
Health Benefits
Dental implants have the potential to benefit your oral and overall health in multiple ways:
- A balanced diet. Because dental implants are durable enough to stand up to almost any food, you can enjoy a nutrient-rich diet that supports your overall wellness.
- A happier state of mind. Implants may give you the confidence to engage in meaningful social interactions with other humans, which can be excellent for your mental health.
- Jawbone preservation. Dental implants act as prosthetic tooth roots; they stimulate the jawbone and help to prevent the deterioration that normally occurs after tooth extractions.
- Benefits for natural teeth. Implants can prevent your remaining natural teeth from drifting out of place. Plus, placing dental implants usually does not require that any nearby teeth be modified.
- Healthier gums. Whereas traditional dentures can rub against the gum tissue and cause discomfort, that is never an issue with dental implants.
Long-Term Benefits
You can expect to start enjoying benefits from your dental implants soon after you receive them. Those benefits can continue for many years.
- With proper care, dental implants have the potential to last for many decades. For some patients, they last an entire lifetime! The restorations on top of them can also endure for a long time.
- Monetary value. Even though dental implants cost more upfront than traditional forms of tooth replacement, their longevity and other benefits make them an excellent monetary value. Over the course of several years, they may end up costing less than a daily trip to your favorite espresso shop!
- Long-term health benefits. Did you know that tooth loss is associated with a shorter lifespan? Dental implants can support your overall wellness and might even allow you to live longer.
Who Dental Implants Can Help

If you’re struggling with tooth loss and don’t know what to do, dental implants are a versatile solution. Whether you're missing one tooth or an entire arch, these modern prosthetics can restore your quality of life in many ways. At Blue Wave Dental, we use implants to help patients chew comfortably, speak clearly, and regain confidence. But are you a good candidate? Read on to see how implants could complete your smile, and whether this treatment is right for you.
Who Is a Good Candidate for Dental Implants?
Most healthy adults with missing teeth are positive candidates for dental implants, but only a consultation can tell us for sure. At your appointment, we can check for factors like:
- One or more missing teeth
- Good oral hygiene
- No severe gum disease
- Adequate bone density, or a willingness to consider grafting
- No smoking or vaping, or commitment to quit during healing
- Uncontrolled health conditions like diabetes
- Autoimmune disorders
It’s important to discuss these factors so that our team can formulate a treatment plan that works specifically for you. Dental implants are a highly successful treatment, but much of that is gained through a rigorous consultation and pre-screening process. Once we’re sure you’re a candidate, we’ll walk you through each step of your plan to make the process as easy as possible.
Missing One Tooth
Even one missing tooth can affect your bite and lead to issues like shifting teeth. A dental implant is often the best solution, as it replaces the entire structure of the tooth without affecting others nearby, as is the case with a traditional dental bridge.
For a single implant at our Walnut Creek dental office, we carefully place the titanium or zirconia fixture into your jawbone. Then, we connect it to a custom crown that looks and functions just like your other natural teeth. The result is a strong, permanent replacement that’s indistinguishable from your original tooth.
Missing Multiple Teeth
If you’re missing several teeth in a row, dental implants can also support a durable, natural-looking bridge. Instead of placing an implant for every missing tooth, we can use two implants to anchor a custom bridge prosthetic in place. This offers better stability and function than a traditional bridge or partial denture.
The process for this is much like a single implant, but requires two or more to be placed at once so they heal in tandem. Once your permanent prosthetic is anchored in, it will instantly improve your ability to chew and speak.
Missing All Teeth
For patients missing all their teeth, there’s still hope! A full-arch implant denture offers a secure, long-lasting alternative to traditional appliances. Using as few as four to six implants per arch, we can affix a complete set of upper or lower teeth to completely rebuild your smile.
These implanted dentures are more stable than removable ones and help preserve jawbone structure over time. Not only will you be able to eat anything you want, but you’ll avoid costly replacements, denture products like adhesives, and extra steps in your maintenance routine. You’ll be able to eat, talk, and smile with confidence again without worrying about slippage.
Dental Implant Failure & Salvage
Did you know that dental implants are successful in more than 95% of cases? You can be confident that your restored smile will stand the test of time. Of course, it must still be admitted that in rare instances, failure can occur, possibly due to an infection or injury. What should you do if you believe that is happening to you? Contact our team right away, and we will do everything in our power to get your oral health back on track ASAP.
Learn More About Dental Implant Failure & Salvage
Understanding the Cost of Dental Implants

The cost of this treatment depends on several different factors, including the extent of your tooth loss as well as the potential need for any preliminary procedures, such as a bone graft or periodontal treatment. Fortunately, thanks to their longevity, dental implants tend to cost less than traditional bridges and dentures overall because patients don’t have to spend money on replacement prosthetics.
Two Implant Acrylic/Hybrid Overdenture for Tooth Replacement --$8,995
Includes:
- Detailed Oral Exam and Cosmetic Records
- 3D CT Scan
- Two Dental Implants In Lower Arch
- Lower Temporary Removable Prosthetic
- Temporary conversion to Lower Final Removable Prosthetic
- Financing Available
Four to Eight Implant Supported Tooth Replacement with Zirconia Denture -- $19,995
Includes:
- Detailed Oral Exam and Cosmetic Records
- 3D CT Scan
- Four to Eight Dental Implants In One Arch
- Upper or Lower Temporary Fixed Prosthetic
- Upper or Lower Final Fixed Prosthetic
- Financing Available
Complete Dental Implant Supported Tooth Replacement with Zirconia -- $38,995
Includes:
- Detailed Oral Exam and Cosmetic Records
- 3D CT Scan
- Four to Eight Dental Implants In Both Arches
- Upper AND Lower Temporary Fixed Prosthetic
- Upper AND Lower Final Fixed Prosthetic
- Financing Available
*Prices listed for dental implants do not include all possible services such as extractions and sedation. CT scan fee will be credited if treatment begins within 1 month.
Maintaining & Caring for Your Dental Implants

With dental implants, you don’t have to worry about them developing cavities or decay. However, they aren’t completely immune to the effects of bacteria or infection in the surrounding gum and jawbone tissues. Since the metal posts can last for decades, sometimes even a lifetime, it’s crucial to care for them properly. Our team will provide you with detailed instructions on maintaining your new smile after your treatment. In the meantime, here are a few tips to help you get the most out of your restored grin.
Make Oral Hygiene a Priority
Brushing, flossing, and rinsing with an ADA-approved mouthwash daily are essential to preventing issues like peri-implantitis, a leading cause of failed dental implants. It's crucial to protect the surrounding gums and connective tissues from damage or infection, as this can weaken the support for your implants, causing the metal posts to loosen or even fall out.
Eat a Healthy Diet
Dental implants can restore 80% or more of your natural biting power, allowing you to enjoy many of your favorite foods that require extra chewing. However, it’s important to protect your gums from bacteria and infection in the long run.
To do this, limit sugary foods and drinks as they can encourage germs to build up and harm the surrounding tissues. Instead, focus on a balanced diet rich in fruits, vegetables, lean meats, and dairy products to keep both your mouth and implants healthy.
Break Bad Habits
It’s no secret that smoking tobacco can significantly harm your health. When it comes to your oral health, it can increase the risk of gum disease and even oral cancer. To ensure your dental implants last as long as possible, it's best to avoid tobacco products entirely. Additionally, steer clear of habits like chewing on ice or using your teeth as tools. These can damage your implants and restorations, leading to costly repairs or replacements.
Protect Your Dental Implants
If you play contact sports or lead an active lifestyle, the last thing you want is to accidentally chip, crack, or damage your dental implants. Even nighttime teeth grinding or clenching can gradually wear down your restorations. To protect your implants, consider investing in custom mouthguards for sports or nightguards for bruxism. These can help ensure your implants stay safe and intact.
Schedule Regular Dental Checkups
In addition to maintaining your daily routine of brushing, flossing, and rinsing with mouthwash, it’s important to visit Dr. David for regular checkups and cleanings. These visits allow him to monitor your oral health and address any potential issues that could jeopardize your dental implants if left untreated. To ensure the best preventive care and long-term success, schedule appointments every six months.
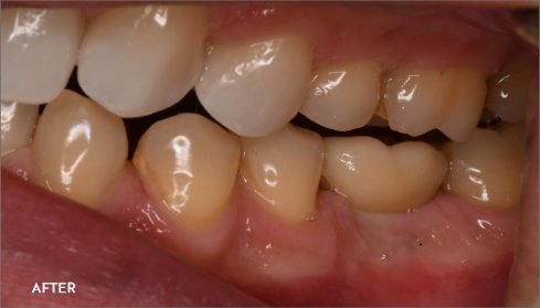
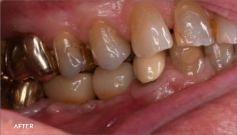
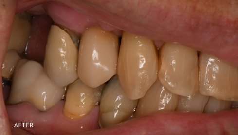
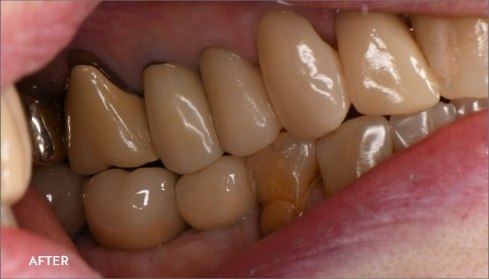
Real Patients, Real Results
Dental Implant FAQs
Are Dental Implants Safe?
Getting dental implants is perfectly safe for most patients. When placed by a qualified professional, dental implants have an incredible success rate of over 95%! If you have low jawbone density or gum disease, you may need to have preliminary procedures, like bone grafting or gum disease treatment, completed ahead of time to make dental implant surgery safer and more successful. If you have diabetes, cancer, or another medical condition that could make surgery or healing risky, we will discuss this during your consultation to determine if implants are right for you.
What Can Cause Dental Implants to Fail?
Dental implant failure is incredibly rare, but it can occur. Usually, it is the result of one of the following reasons:
- Peri-Implantitis: This is a form of gum disease that develops from poor oral hygiene and can damage the bone and gums supporting the implants.
- Failed Osseointegration: If the dental implant doesn’t properly fuse with the jawbone, it could fail.
Some other causes of dental implant failure include chronic teeth grinding, tobacco use, poor oral hygiene, medications, radiation to the head/neck, and certain health conditions, like uncontrolled diabetes.
Am I Too Young to Get Dental Implants?
If dental implants are placed before the jaw has finished growing, they can interfere with bone development, resulting in severe complications. Since most people’s jawbones don’t completely develop until young adulthood, most dental professionals won’t place dental implants in patients younger than 18. During your consultation with us, we can discuss whether or not dental implants are a good option for you at this time.
Will I Have to Take Off Work for Dental Implant Surgery?
Most patients only need to take one or two days off work for their dental implant placement procedure. If your job is physically demanding, you may need to take at least three to four days off. This is because heavy exercise can divert blood from the implant site, delaying healing. However, everyone’s different. During your consultation, we can give you a more specific recommendation based on your unique case.
Can I Get Dental Implants If I’m Diabetic?
If your diabetes is under control, your odds of dental implant success are generally comparable to those of nondiabetic patients. Uncontrolled diabetes can slow down the healing process, making it more difficult for your implants to integrate with your jaw. If you have diabetes and are interested in getting dental implants, talk to your endocrinologist or primary care doctor about getting your blood sugar levels under control beforehand.




