Cosmetic Dentist Walnut Creek
Beautiful Smile Solutions That Bring Unparalleled Confidence
Nobody should have to go through life with teeth that cause them to think twice before smiling or expressing themselves. Dr. David and our team at Blue Wave Dental offer a variety of customizable cosmetic treatments capable of addressing a wide range of aesthetic dental issues. Reach out to us if you need a cosmetic dentist in Walnut Creek.
Why Choose Blue Wave Dental for Cosmetic Dentistry?
- Life-Changing Smile Makeovers Are Our Specialty
- Collaborative Planning and Treatment Process
- Relaxing Dental Office with Modern Amenities
Veneers

Veneers are thin bonded porcelain restorations used to enhance smiles by changing the shape and color of the teeth. These minimally invasive restorations can be used to address chips, cracks , gaps, stains and more.
Metal-Free Restorations

In the past, metal alloys have been used in dentistry to create various types of restorations—and though they served their purpose, they were quite noticeable and unsightly. Dr. David offers metal-free and mercury-free restorations that restore function and look beautiful and completely natural.
Cosmetic Bonding

For minor aesthetic flaws in teeth, including small chips, gaps, and cracks, there’s perhaps no better solution than cosmetic bonding. Using a small amount of special composite resin, Dr. David can precisely mold it to mask any issues before hardening it under a special light.
Teeth Whitening

If you’re unhappy with the shade of your smile, rest assured it’s something that can be fixed! We offer both in-office whitening (Opalescence Boost) and take-home whitening options (Opalescence Go Trays), both of which are viable and capable of giving your pearly whites a boost in brightness. Our professional grade products contain desensitizers for a more comfortable experience. In addition, custom whitening trays can be made to allow for personalized at-home whitening.
Gum Recontouring/Crown Lengthening/Gum Lift

If you have excess gum tissue (also known as a “gummy smile”) or an uneven gum line, it can alter your smile’s appearance and create an unbalanced look. With this minimally invasive procedure, excess gum tissue is removed to reveal more of your natural tooth structure, giving your teeth a longer and more proportionate look.
Smile Makeovers

If you’re suffering from numerous dental issues that make you feel self-conscious about your smile, Dr. David can provide you with a smile makeover. He’ll create a customized plan that might include numerous treatments working in unison. Dr. David can help create treatment options that fit within your budget and timeframe.
Learn More About Smile Makeovers
Understanding the Cost of Cosmetic Dentistry
The cost of cosmetic dentistry is determined by Dr. David and our team at Blue Wave Dental during a scheduled consultation. Since most services are not covered by dental insurance, we will discuss which one aligns with your goals and alternative payment options to help reduce your out-of-pocket expenses.
Which Cosmetic Dental Service is Right for Me?
Your dental consultation with Dr. David will include a discussion about the different cosmetic services available in our office, including:
- Veneers: These custom restorations alter the color, size, and shape of your teeth and can be one of the costlier cosmetic solutions.
- Metal-Free Restorations: These metal- and mercury-free restorations conceal imperfections and address damage and decay. Cost can add up depending on the number of restorations you need.
- Cosmetic Bonding: Color-matched composite resin is used to conceal minor flaws, including chips, small gaps, and stains, and it’s considered an affordable option for patients on a budget.
- Teeth Whitening: In-office and take-home whitening kits are available to eliminate stains and brighten smiles. These methods are more cost-effective than store-bought brands.
- Gum Recontouring/Crown Lengthening/Gum Lift: Price will vary based on how extensive the procedure is, but removing excess gum tissue to expose more of your teeth is a permanent solution.
- Smile Makeovers: The combination of multiple services can add up to be a costly investment, but a smile makeover is worth the expense when faced with various imperfections.
Cosmetic Dentistry Can Be an Investment Worth Making
Cosmetic dentistry enhances your physical appearance but also improves your mental and emotional state. Investing in a smile upgrade can increase your chances of being hired for a job, securing a second date, or making a good first impression with your in-laws. The positive effects of these services can change your life for the better.
How to Make Cosmetic Dentistry Affordable
At Blue Wave Dental, Dr. David provides two additional payment methods to make cosmetic services more affordable:
- CareCredit Financing: You can pay off your bill over time instead of all at once. With plans that include little or no interest, you can choose one based on your budget and payback timeframe.
- In-House Membership Plan: You pay a low fee to receive many of the same benefits as regular insurance, but you avoid deductibles, annual maximums, waiting periods, and more. Instead, you get preventive treatment and discounts on additional services.
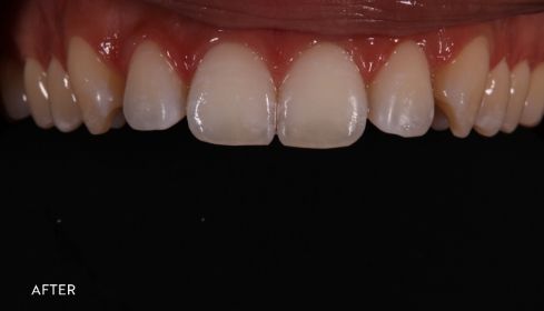
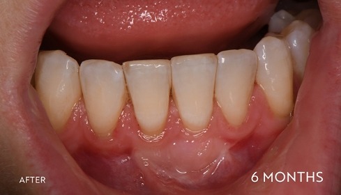
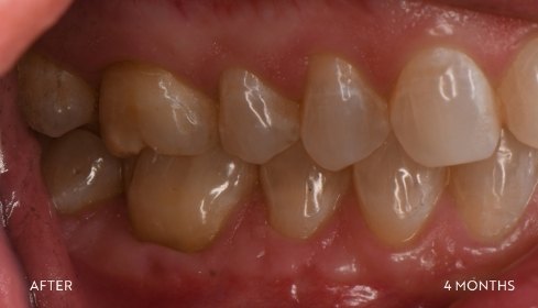
Real Patients, Real Results
Cosmetic Dentistry FAQs
Does Cosmetic Dentistry Hurt?
Not at all. Cosmetic treatments are some of the least invasive procedures in all of dentistry, meaning they require little to no modification to your natural teeth. If you’re concerned about discomfort, our team can apply a local anesthetic to the treatment area, so you stay comfortable.
When performed by a trained professional like Dr. David, your smile is in great hands. Most patients describe their experience as easy and painless, making cosmetic dentistry an excellent option for enhancing your smile without added stress.
How Do I Know If I Need Cosmetic Dentistry?
Cosmetic dentistry is elective, which means it’s something you choose—not something you necessarily need for your oral health. Most patients seek treatments because they’re unhappy with the appearance of their smiles, whether due to discoloration, misalignment, gaps, or chipped enamel.
Do you find yourself hiding your teeth when you laugh? Keeping your mouth closed in photos? Feeling dissatisfied with what you see in the mirror? Then cosmetic dentistry may be right for you. However, the best way to know for sure is to schedule a consultation with our cosmetic dentist in Walnut Creek. Dr. David will evaluate your goals and lay out all the options available to you so you can make an informed decision.
How Long Does Cosmetic Dentistry Last?
Unfortunately, there isn’t a universal timeline for how long cosmetic dentistry results will last. This is because the longevity of any given treatment depends on the specific procedure, your oral hygiene habits, and your lifestyle.
For example, teeth whitening results typically last anywhere from six months to three years, depending on diet and care routine. Veneers, however, can remain strong and beautiful for 10–20 years with proper care. Cosmetic bonding may need touch-ups sooner, while gum recontouring lasts a lifetime.
During your consultation, Dr. David will explain the expected timeline of each option so you can choose the treatment that best fits your needs.
Why Is Cosmetic Dentistry So Popular?
Cosmetic dentistry has existed in some form for thousands of years—people have always cared deeply about their smiles! Today, however, advances in dental materials, education, and technology have made these treatments more accessible and natural-looking than ever.
Many patients choose cosmetic dentistry to feel more confident in the job market, while others just want to enjoy seeing a more beautiful smile in the mirror. Whatever your reason, our Walnut Creek cosmetic dentist can help you achieve results that look great and feel completely “you.”





